KI im Ultraschall – Verbesserung der Diagnostik durch künstliche Intelligenz!
Die Einführung der KI-gestützten VAim- und VAid-Programme von VINNO-Ultraschall bedeuten eine neue Dimension in der medizinischen Ultraschall-Diagnostik. Diese innovativen Programme bieten Ärzten automatisierte Analysemöglichkeiten von Ultraschallbildern, um Zeit und Aufwand zu sparen.
Die VAim- und VAid-Technologie optimiert nicht nur den Diagnoseprozess, sondern verbessert auch die Genauigkeit und Effizienz der Behandlung. Sie stellt eine wegweisende Entwicklung dar, die dazu beiträgt, die Patientenversorgung auf ein neues Niveau zu heben und medizinische Entscheidungen zu unterstützen.
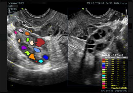
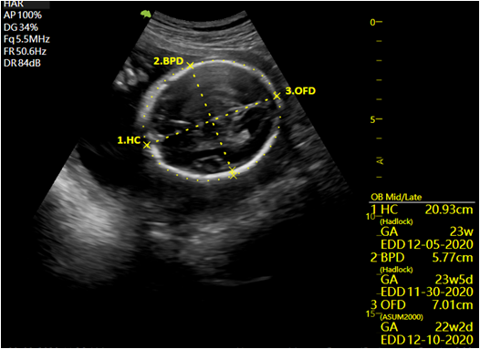
Zu den VAim-Programmen (Artificial Intelligence Measurement) zählen:
- VAim Hip: KI-gestützte Hüftwinkelvermessung auf Knopfdruck
- VAim OB: KI-gestützte Vermessung der fetalen Biometric
- VAim Follicle: KI-gestützte Vermessung der Follikel
- VAim Pelvic: KI-gestützte Vermessung des Beckenboden
Zu den VAid-Programmen (Artificial Intelligence Detection) zählen:
- VAid Thyroid: KI-gestützte automatische Detektion und Vermessung von Läsionen in der Schilddrüse
- VAid Liver: KI-gestützte automatische Detektion und Vermessung von Läsionen in der Leber
- VAid Breast: KI-gestützte automatische Detektion und Vermessung von Läsionen in der Brust
Vereinbaren Sie gern einen Beratungstermin!




